Επικοινωνία
Logo_black
Καλέστε μας
6940167070
Βασ. Σοφίας 124Β
Αμπελόκηποι Τ.Κ. 11526
Άρεως 41, Παλαιό Φάληρο
ΤΚ 17562
  • Ο Χειρουργός
  • Θυρεοειδής
    • Βρογχοκήλη
    • Καρκίνος Θυρεοειδούς – Συμπτώματα, Διάγνωση, Στάδια, Θεραπεία
    • Καρκίνος Θυρεοειδούς σε Παιδιά
    • Μυελοειδές Καρκίνωμα Θυρεοειδούς
    • Νόσος Graves
    • Όζοι Θυρεοειδούς
    • Τοξική Πολυοζώδης Βρογχοκήλη
    • Τοξικό Αδένωμα Θυρεοειδούς
    • Υπερθυρεοειδισμός
    • Υποθυρεοειδισμός
    • Χειρουργικές Επεμβάσεις
      • Θυρεοειδεκτομή
      • Λεμφαδενικός Καθαρισμός Τραχήλου
      • Διεγχειρητική Νευροδιέγερση – Νευροπαρακολούθηση
  • Παραθυρεοειδείς
    • Αδένωμα Παραθυρεοειδούς
    • Πρωτοπαθής Υπερπαραθυρεοειδισμός
    • Δευτεροπαθής Υπερπαραθυρεοειδισμός
    • Τριτοπαθής Υπερπαραθυρεοειδισμός
    • Καρκίνος Παραθυρεοειδούς Αδένα
    • Χειρουργικές Επεμβάσεις
      • Παραθυρεοειδεκτομή
  • Επινεφρίδια
    • Καρκίνος Επινεφριδίου
    • Παραγαγγλίωμα
    • Πρωτοπαθής Υπεραλδοστερονισμός (Σύνδρομο Conn)
    • Σύνδρομο Cushing
    • Τυχαίωμα Επινεφριδίου
    • Φαιοχρωμοκύττωμα
    • Χειρουργικές Επεμβάσεις
      • Λαπαροσκοπική Επινεφριδεκτομή
  • Γενική Χειρουργική
    • Αιμορροΐδες
    • Βιοψία Λεμφαδένα Μασχάλης
    • Βιοψία Λεμφαδένα Τραχήλου
    • Γαστροστομία
    • Διαφραγματοκήλη
    • Κήλες
      • Βουβωνοκήλη
      • Κοιλιοκήλη
      • Μηροκήλη
      • Ομφαλοκήλη
    • Κύστη Κόκκυγος
    • Λίπωμα
    • Οξεία Σκωληκοειδίτιδα
    • Ραγάδα Πρωκτού
    • Συρίγγιο Πρωκτού
    • Παθήσεις Χολής
      • Χολοκυστίτιδα
      • Πέτρες στη Χολή
      • Πολύποδες στη Χολή
    • Χειρουργικές Επεμβάσεις
      • Λαπαροσκοπική Θολοπλαστική Στομάχου
      • Λαπαροσκοπική Χολοκυστεκτομή
      • Λαπαροσκοπική Σκωληκοειδεκτομή
      • Λαπαροσκοπική Βουβωνοκήλη
      • Λαπαροσκοπική Ομφαλοκήλη
      • Λαπαροσκοπική Κοιλιοκήλη
  • Επεμβάσεις
  • Ιατρείο
  • Media
    • Άρθρα – Συνεντεύξεις – Παρουσιάσεις
    • Blog
    • Βίντεο
    • Kριτικές
    • Συνέδρια – Διαλέξεις
    • Χειρουργικά Περιστατικά
  • Επικοινωνία
Logo_black
  • Ο Χειρουργός
  • Θυρεοειδής
    • Βρογχοκήλη
    • Καρκίνος Θυρεοειδούς – Συμπτώματα, Διάγνωση, Στάδια, Θεραπεία
    • Καρκίνος Θυρεοειδούς σε Παιδιά
    • Μυελοειδές Καρκίνωμα Θυρεοειδούς
    • Νόσος Graves
    • Όζοι Θυρεοειδούς
    • Τοξική Πολυοζώδης Βρογχοκήλη
    • Τοξικό Αδένωμα Θυρεοειδούς
    • Υπερθυρεοειδισμός
    • Υποθυρεοειδισμός
    • Χειρουργικές Επεμβάσεις
      • Θυρεοειδεκτομή
      • Λεμφαδενικός Καθαρισμός Τραχήλου
      • Διεγχειρητική Νευροδιέγερση – Νευροπαρακολούθηση
  • Παραθυρεοειδείς
    • Αδένωμα Παραθυρεοειδούς
    • Πρωτοπαθής Υπερπαραθυρεοειδισμός
    • Δευτεροπαθής Υπερπαραθυρεοειδισμός
    • Τριτοπαθής Υπερπαραθυρεοειδισμός
    • Καρκίνος Παραθυρεοειδούς Αδένα
    • Χειρουργικές Επεμβάσεις
      • Παραθυρεοειδεκτομή
  • Επινεφρίδια
    • Καρκίνος Επινεφριδίου
    • Παραγαγγλίωμα
    • Πρωτοπαθής Υπεραλδοστερονισμός (Σύνδρομο Conn)
    • Σύνδρομο Cushing
    • Τυχαίωμα Επινεφριδίου
    • Φαιοχρωμοκύττωμα
    • Χειρουργικές Επεμβάσεις
      • Λαπαροσκοπική Επινεφριδεκτομή
  • Γενική Χειρουργική
    • Αιμορροΐδες
    • Βιοψία Λεμφαδένα Μασχάλης
    • Βιοψία Λεμφαδένα Τραχήλου
    • Γαστροστομία
    • Διαφραγματοκήλη
    • Κήλες
      • Βουβωνοκήλη
      • Κοιλιοκήλη
      • Μηροκήλη
      • Ομφαλοκήλη
    • Κύστη Κόκκυγος
    • Λίπωμα
    • Οξεία Σκωληκοειδίτιδα
    • Ραγάδα Πρωκτού
    • Συρίγγιο Πρωκτού
    • Παθήσεις Χολής
      • Χολοκυστίτιδα
      • Πέτρες στη Χολή
      • Πολύποδες στη Χολή
    • Χειρουργικές Επεμβάσεις
      • Λαπαροσκοπική Θολοπλαστική Στομάχου
      • Λαπαροσκοπική Χολοκυστεκτομή
      • Λαπαροσκοπική Σκωληκοειδεκτομή
      • Λαπαροσκοπική Βουβωνοκήλη
      • Λαπαροσκοπική Ομφαλοκήλη
      • Λαπαροσκοπική Κοιλιοκήλη
  • Επεμβάσεις
  • Ιατρείο
  • Media
    • Άρθρα – Συνεντεύξεις – Παρουσιάσεις
    • Blog
    • Βίντεο
    • Kριτικές
    • Συνέδρια – Διαλέξεις
    • Χειρουργικά Περιστατικά
  • Επικοινωνία
  • Ο Χειρουργός
  • Θυρεοειδής
    • Βρογχοκήλη
    • Καρκίνος Θυρεοειδούς – Συμπτώματα, Διάγνωση, Στάδια, Θεραπεία
    • Καρκίνος Θυρεοειδούς σε Παιδιά
    • Μυελοειδές Καρκίνωμα Θυρεοειδούς
    • Νόσος Graves
    • Όζοι Θυρεοειδούς
    • Τοξική Πολυοζώδης Βρογχοκήλη
    • Τοξικό Αδένωμα Θυρεοειδούς
    • Υπερθυρεοειδισμός
    • Υποθυρεοειδισμός
    • Χειρουργικές Επεμβάσεις
      • Θυρεοειδεκτομή
      • Λεμφαδενικός Καθαρισμός Τραχήλου
      • Διεγχειρητική Νευροδιέγερση – Νευροπαρακολούθηση
  • Παραθυρεοειδείς
    • Αδένωμα Παραθυρεοειδούς
    • Πρωτοπαθής Υπερπαραθυρεοειδισμός
    • Δευτεροπαθής Υπερπαραθυρεοειδισμός
    • Τριτοπαθής Υπερπαραθυρεοειδισμός
    • Καρκίνος Παραθυρεοειδούς Αδένα
    • Χειρουργικές Επεμβάσεις
      • Παραθυρεοειδεκτομή
  • Επινεφρίδια
    • Καρκίνος Επινεφριδίου
    • Παραγαγγλίωμα
    • Πρωτοπαθής Υπεραλδοστερονισμός (Σύνδρομο Conn)
    • Σύνδρομο Cushing
    • Τυχαίωμα Επινεφριδίου
    • Φαιοχρωμοκύττωμα
    • Χειρουργικές Επεμβάσεις
      • Λαπαροσκοπική Επινεφριδεκτομή
  • Γενική Χειρουργική
    • Αιμορροΐδες
    • Βιοψία Λεμφαδένα Μασχάλης
    • Βιοψία Λεμφαδένα Τραχήλου
    • Γαστροστομία
    • Διαφραγματοκήλη
    • Κήλες
      • Βουβωνοκήλη
      • Κοιλιοκήλη
      • Μηροκήλη
      • Ομφαλοκήλη
    • Κύστη Κόκκυγος
    • Λίπωμα
    • Οξεία Σκωληκοειδίτιδα
    • Ραγάδα Πρωκτού
    • Συρίγγιο Πρωκτού
    • Παθήσεις Χολής
      • Χολοκυστίτιδα
      • Πέτρες στη Χολή
      • Πολύποδες στη Χολή
    • Χειρουργικές Επεμβάσεις
      • Λαπαροσκοπική Θολοπλαστική Στομάχου
      • Λαπαροσκοπική Χολοκυστεκτομή
      • Λαπαροσκοπική Σκωληκοειδεκτομή
      • Λαπαροσκοπική Βουβωνοκήλη
      • Λαπαροσκοπική Ομφαλοκήλη
      • Λαπαροσκοπική Κοιλιοκήλη
  • Επεμβάσεις
  • Ιατρείο
  • Media
    • Άρθρα – Συνεντεύξεις – Παρουσιάσεις
    • Blog
    • Βίντεο
    • Kριτικές
    • Συνέδρια – Διαλέξεις
    • Χειρουργικά Περιστατικά
  • Επικοινωνία
Logo_black
Logo_black
  • Ο Χειρουργός
  • Θυρεοειδής
    • Βρογχοκήλη
    • Καρκίνος Θυρεοειδούς – Συμπτώματα, Διάγνωση, Στάδια, Θεραπεία
    • Καρκίνος Θυρεοειδούς σε Παιδιά
    • Μυελοειδές Καρκίνωμα Θυρεοειδούς
    • Νόσος Graves
    • Όζοι Θυρεοειδούς
    • Τοξική Πολυοζώδης Βρογχοκήλη
    • Τοξικό Αδένωμα Θυρεοειδούς
    • Υπερθυρεοειδισμός
    • Υποθυρεοειδισμός
    • Χειρουργικές Επεμβάσεις
      • Θυρεοειδεκτομή
      • Λεμφαδενικός Καθαρισμός Τραχήλου
      • Διεγχειρητική Νευροδιέγερση – Νευροπαρακολούθηση
  • Παραθυρεοειδείς
    • Αδένωμα Παραθυρεοειδούς
    • Πρωτοπαθής Υπερπαραθυρεοειδισμός
    • Δευτεροπαθής Υπερπαραθυρεοειδισμός
    • Τριτοπαθής Υπερπαραθυρεοειδισμός
    • Καρκίνος Παραθυρεοειδούς Αδένα
    • Χειρουργικές Επεμβάσεις
      • Παραθυρεοειδεκτομή
  • Επινεφρίδια
    • Καρκίνος Επινεφριδίου
    • Παραγαγγλίωμα
    • Πρωτοπαθής Υπεραλδοστερονισμός (Σύνδρομο Conn)
    • Σύνδρομο Cushing
    • Τυχαίωμα Επινεφριδίου
    • Φαιοχρωμοκύττωμα
    • Χειρουργικές Επεμβάσεις
      • Λαπαροσκοπική Επινεφριδεκτομή
  • Γενική Χειρουργική
    • Αιμορροΐδες
    • Βιοψία Λεμφαδένα Μασχάλης
    • Βιοψία Λεμφαδένα Τραχήλου
    • Γαστροστομία
    • Διαφραγματοκήλη
    • Κήλες
      • Βουβωνοκήλη
      • Κοιλιοκήλη
      • Μηροκήλη
      • Ομφαλοκήλη
    • Κύστη Κόκκυγος
    • Λίπωμα
    • Οξεία Σκωληκοειδίτιδα
    • Ραγάδα Πρωκτού
    • Συρίγγιο Πρωκτού
    • Παθήσεις Χολής
      • Χολοκυστίτιδα
      • Πέτρες στη Χολή
      • Πολύποδες στη Χολή
    • Χειρουργικές Επεμβάσεις
      • Λαπαροσκοπική Θολοπλαστική Στομάχου
      • Λαπαροσκοπική Χολοκυστεκτομή
      • Λαπαροσκοπική Σκωληκοειδεκτομή
      • Λαπαροσκοπική Βουβωνοκήλη
      • Λαπαροσκοπική Ομφαλοκήλη
      • Λαπαροσκοπική Κοιλιοκήλη
  • Επεμβάσεις
  • Ιατρείο
  • Media
    • Άρθρα – Συνεντεύξεις – Παρουσιάσεις
    • Blog
    • Βίντεο
    • Kριτικές
    • Συνέδρια – Διαλέξεις
    • Χειρουργικά Περιστατικά
  • Επικοινωνία
Blog
Home Χειρουργικά Περιστατικά Τριπλό Αδένωμα Παραθυρεοειδούς
Χειρουργικά Περιστατικά
6 Νοεμβρίου, 2025 by Δρ. Αποστόλου 0 Comments

Τριπλό Αδένωμα Παραθυρεοειδούς

Ενότητες

Toggle
  • Τι είναι το Τριπλό Αδένωμα Παραθυρεοειδούς;
  • Τριπλό Αδένωμα Παραθυρεοειδούς
  • Τριπλό Αδένωμα Παραθυρεοειδούς & Καταδυόμενη Βρογχοκήλη: Χειρουργική Αφαίρεση
  • Συμπεράσματα

Τι είναι το Τριπλό Αδένωμα Παραθυρεοειδούς;

Το τριπλό αδένωμα παραθυρεοειδούς συνιστά εκείνη την κατάσταση στην οποία στον ίδιο ασθενή παρουσιάζονται ταυτόχρονα τρία αδενώματα στους παραθυρεοειδείς αδένες.

Οι παραθυρεοειδείς αδένες αποτελούν ενδοκρινείς αδένες με εξαιρετικά μικρό μέγεθος που εντοπίζονται σε επαφή με την οπίσθια επιφάνεια του θυρεοειδούς αδένα, με την πλειοψηφία των ανθρώπων να έχουν τέσσερις παραθυρεοειδείς αδένες.

Το αδένωμα παραθυρεοειδούς μπορεί να αναπτυχθεί σε οποιονδήποτε παραθυρεοειδή αδένα, γεγονός που συνεπάγεται την ανεξέλεγκτη παραγωγή και έκκριση της παραθορμόνης, που με τη σειρά της θα προκαλέσει εξαιρετικά αυξημένα επίπεδα ασβεστίου στο αίμα, μία κατάσταση που ονομάζεται πρωτοπαθής υπερπαραθυρεοειδισμός.

Το τριπλό αδένωμα παραθυρεοειδούς αφορά μία σπάνια κατάσταση, η οποία ευθύνεται για < 1% των περιπτώσεων πρωτοπαθούς υπερπαραθυρεοειδισμού.

Στο σημείο αυτό θα πρέπει να τονισθεί πως παρά το γεγονός πως η διάγνωσή τους δεν παρουσιάζει, συνήθως, κάποια δυσκολία, είναι εξαιρετικά σημαντικός ο διαχωρισμός του τριπλού αδενώματος παραθυρεοειδούς από την υπερπλασία του συνόλου των παραθυρεοειδών αδένων. 

Τριπλό Αδένωμα Παραθυρεοειδούς

Στην περίπτωση μας, μία γυναίκα ασθενής προσήλθε για χειρουργική θεραπεία ενός τριπλού αδενώματος παραθυρεοειδούς, σε συνδυασμό με τη χειρουργική θεραπεία μίας πολυοζώδους καταδυόμενης (οπισθοστερνικής) βρογχοκήλης.

Η ασθενής παρουσίαζε τα κλασικά συμπτώματα και σημεία του πρωτοπαθούς υπερπαραθυρεοειδισμού κατά τη διάρκεια των τελευταίων 3 μηνών, με τα συμπτώματα να οξύνονται σημαντικά κατά τις τελευταίες δύο εβδομάδες, ενώ τα επίπεδα της παραθορμόνης και του ασβεστίου στο αίμα ξεπερνούσαν σημαντικά τα ανώτερα φυσιολογικά όρια. Πιο αναλυτικά, η ασθενής εμφάνιζε:

  • Παραθορμόνη αίματος = 532 pg/ml (φυσιολογικές τιμές: 20 – 100 pg/ml)
  • Ασβέστιο αίματος = 13.6 mg/dl (φυσιολογικές τιμές < 10.5 mg/dl)

Η ασθενής υποβλήθηκε σε εξετάσεις εντοπισμού του υπεύθυνου παραθυρεοειδούς αδένα για την πρόκληση του πρωτοπαθούς υπερπαραθυρεοειδισμού και πιο συγκεκριμένα σε σπινθηρογράφημα παραθυρεοειδών, σε υπερηχογράφημα θυρεοειδούς και παραθυρεοειδών αδένων καθώς και σε αξονική τομογραφία τραχήλου με ενδοφλέβιο σκιαγραφικό μέσο και πρωτόκολλο 4D-CT.

Το σπινθηρογράφημα παραθυρεοειδών με τεχνήτιο 99m – Sestamibi (Tc 99m – Sestamibi) αποκάλυψε την καθήλωση του ραδιοφαρμάκου στον δεξιό άνω, τον δεξιό κάτω καθώς και τον αριστερό άνω παραθυρεοειδή αδένα, τόσο κατά τις πρώιμες όσο και κατά τις καθυστερημένες λήψεις.

τριπλό αδένωμα παραθυρεοειδούς

Σπινθηρογράφημα παραθυρεοειδών αδένων, το οποίο αναδεικνύει τριπλό αδένωμα παραθυρεοειδούς και συγκεκριμένα του αριστερού άνω, του δεξιού άνω και του δεξιού κάτω παραθυρεοειδούς αδένα.

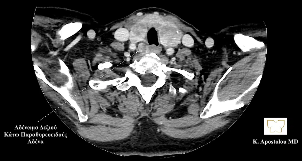
Ομοίως, η αξονική τομογραφία αποκάλυψε την παρουσία τριών αδενωμάτων παραθυρεοειδούς και πιο συγκεκριμένα του δεξιού άνω παραθυρεοειδούς, του αριστερού άνω παραθυρεοειδούς και του δεξιού κάτω παραθυρεοειδούς αδένα, καθώς και την παρουσία διόγκωσης του θυρεοειδούς αδένα με κατάδυση αυτού στο ανώτερο μεσοθωράκιο και την παρουσία πολλαπλών όζων θυρεοειδούς (καταδυόμενη πολυοζώδης βρογχοκήλη).

αδενωμα δεξιου ανω παραθυρεοειδους

αδενωμα αριστερου ανω παραθυρεοειδους

αδενωμα δεξιου κατω παραθυρεοειδους

Τριπλό Αδένωμα Παραθυρεοειδούς & Καταδυόμενη Βρογχοκήλη: Χειρουργική Αφαίρεση

Η ασθενής ενημερώθηκε με κάθε λεπτομέρεια για τη χειρουργική θεραπευτική μέθοδο (παραθυρεοειδεκτομή και ολική θυρεοειδεκτομή) και μερικές ημέρες αργότερα οδηγήθηκε στο χειρουργείο.

Τα επίπεδα της παραθορμόνης στο αίμα αξιολογήθηκαν ακριβώς πριν την πραγματοποίηση της τραχηλικής τομής και ήταν 589 pg/ml. Στη συνέχεια, παρασκευάσθηκαν και οι δύο λοβοί του θυρεοειδούς αδένα και αποκαλύφθηκαν το αδένωμα του δεξιού άνω, του δεξιού κάτω και του αριστερού άνω παραθυρεοειδούς αδένα.

αδενωμα στον παραθυρεοειδη

αδενωμα παραθυρεοειδους χειρουργειο

αδενωμα παραθυρεοειδους αδενα

Η ακεραιότητα και η άριστη λειτουργικότητα των δύο παλίνδρομων λαρυγγικών νεύρων διασφαλιζόταν κατά τη συνολική διάρκεια της χειρουργικής επέμβασης από την εφαρμογή της διεγχειρητικής νευροδιέγερσης και νευροπαρακολούθησης, με τα δύο παλίνδρομα λαρυγγικά νεύρα να αναγνωρίζονται και να διαφυλάσσονται στο ακέραιο.

Στη συνέχεια μετρήθηκαν εκ νέου τα επίπεδα παραθορμόνης αίματος πριν την αφαίρεση των δύο αδενωμάτων, τα οποία ήταν 642 pg/ml.

Ακολουθεί η παρασκευή και η χειρουργική εξαίρεση του τριπλού αδενώματος παραθυρεοειδών, δηλαδή του αδενώματος του δεξιού άνω, του αριστερού άνω και του δεξιού κάτω παραθυρεοειδούς αδένα, τα οποία αποστέλλονται προς ταχεία ιστολογική εξέταση που επιβεβαίωσε την ορθή εξαίρεσή τους.

Τα επίπεδα της παραθορμόνης στο αίμα αξιολογήθηκαν εκ νέου μετά την πάροδο 10 λεπτών από την αφαίρεση του συνόλου των αδενωμάτων και είχαν ελαττωθεί θεαματικά στα 32.7 pg/ml, επιστρέφοντας έτσι στα φυσιολογικά επίπεδα.

Στη συνέχεια πραγματοποιήθηκε και η αφαίρεση του θυρεοειδούς αδένα, του οποίου ο αριστερός λοβός παρουσίαζε έντονη κατάδυση στο ανώτερο μεσοθωράκιο (καταδυόμενη βρογχοκήλη), με την ολική θυρεοειδεκτομή να ολοκληρώνεται, επίσης, άριστα.

τριπλό αδένωμα παραθυρεοειδούς βρογχοκήλη

Ο εξαιρεθείς θυρεοειδής αδένας, στον οποίο διακρίνεται η έντονη διόγκωση του (βρογχοκήλη) με την παρουσία πολλαπλών όζων θυρεοειδούς.

Η διεγχειρητική μέτρηση της παραθορμόνης αίματος επισφράγισε την επιτυχή αφαίρεση των τριών αδενωμάτων παραθυρεοειδούς όπως και την απουσία κάποιου έτερου παθολογικού παραθυρεοειδούς αδένα.

Η μετεγχειρητική πορεία της ασθενούς υπήρξε, ως αναμενόταν, απόλυτα ομαλή, με την ασθενή να έχει άριστη ομιλία και αναπνοή και να σιτίζεται άμεσα μετά τη χειρουργική επέμβαση, ενώ εξήλθε της κλινικής το επόμενο πρωινό με τα επίπεδα της παραθορμόνης στο αίμα να είναι 7.2 pg/ml.

Συμπεράσματα

Συμπερασματικά, ενώ το τριπλό αδένωμα παραθυρεοειδούς θεωρείται μία σπάνια αιτία πρόκλησης πρωτοπαθούς υπερπαραθυρεοειδισμού, καθώς επιστημονικά αποδεδειγμένα αφορά σε < 1% των περιπτώσεων πρωτοπαθούς υπερπαραθυρεοειδισμού, η χειρουργική αντιμετώπιση του προσφέρει την οριστική ίαση στους ασθενείς.

Η χειρουργική θεραπεία για το τριπλό αδένωμα παραθυρεοειδούς απαιτεί αναμφίβολα εμπειρία και εξειδίκευση στη χειρουργική των παραθυρεοειδών αδένων, τόσο για τον ακριβή προεγχειρητικό εντοπισμό τους όσο και για την ορθή χειρουργική εξαίρεσή τους.

Εύλογα, συνεπώς, τη χειρουργική θεραπεία για το τριπλό αδένωμα παραθυρεοειδούς θα πρέπει, ιδανικά, να την αναλαμβάνει κάποιος εξειδικευμένος χειρουργός θυρεοειδούς και παραθυρεοειδών αδένων, με αρωγό φυσικά την εφαρμογή της διεγχειρητικής νευροδιέγερσης και νευροπαρακολούθησης και τη διεγχειρητική μέτρηση της παραθορμόνης αίματος, τα οποία δρουν συμπληρωματικά της χειρουργικής εμπειρίας, επισφραγίζοντας την ασφαλή πραγματοποίηση της χειρουργικής επέμβασης άνευ επιπλοκών, εξασφαλίζοντας την οριστική ίαση των ασθενών από το τριπλό αδένωμα παραθυρεοειδούς και τα συμπτώματα που προκαλεί.

Δρ. Αποστόλου
Δρ. Αποστόλου

Ο χειρουργός και η ομάδα που τον πλαισιώνει πραγματοποιούν όλες τις επεμβάσεις της Χειρουργικής Ενδοκρινών Αδένων (Θυρεοειδούς, Παραθυρεοειδών και Επινεφριδίων), όπως και το σύνολο των χειρουργικών επεμβάσεων της Γενικής Χειρουργικής και της Χειρουργικής Ογκολογίας.

Απόλυτο στόχο μας αποτελεί η προσφορά άριστων ιατρικών υπηρεσιών και η εφαρμογή όλων των νεότερων επιστημονικών εξελίξεων στους ασθενείς μας, σύμφωνα πάντα με τα διεθνή πρότυπα Αριστείας.

Η φιλοσοφία μας συνοψίζεται στην εξής φράση: «Πάντα δίπλα στους ασθενείς, για το όφελος των ασθενών και μόνο».
Δρ. Αποστόλου Κωνσταντίνος, MD, PhD - Γενικός Χειρουργός - Εξειδικευμένος Χειρουργός Θυρεοειδούς και Παραθυρεοειδών place picture
Δρ. Αποστόλου Κωνσταντίνος, MD, PhD - Γενικός Χειρουργός - Εξειδικευμένος Χειρουργός Θυρεοειδούς και Παραθυρεοειδών
5.0
Με βάση 182 κριτικές
powered by Google
review us on
tatiana konstantinou profile picture
tatiana konstantinou
11:27 26 Feb 26
Μόνο καλά λόγια έχω να πω για τον κύριο Αποστόλου ! Είναι άριστος επιστήμονας και πολύ ευχάριστος και φιλικός ως άνθρωπος . Κατάλαβε ακριβώς ποιο ήταν το πρόβλημα και προχωρησαμε σε ολική θυροειδεκτομη . Η επέμβαση και η μετεγχειρητική παρακολούθηση πήγαν άψογα και τον ευχαριστώ από καρδιάς .
Eri Vassilaki profile picture
Eri Vassilaki
18:10 20 Feb 26
Άριστος γιατρος ,ως επιστήμονας και ως άνθρωπος, μου ενέπνευσε εμπιστοσύνη αμέσως, τον βρήκα από το ενημερωτικό υλικό που έχει δημοσιεύσει και τον πήρα τηλέφωνο για να διαπιστώσω εάν είναι ο κατάλληλος για να με χειρουργησει. Όπως αποδεικτικε τώρα που έκανα την επέμβαση, έκανα πολύ καλή επιλογή..
Vangelis Kontogiannis profile picture
Vangelis Kontogiannis
17:45 16 Feb 26
Εξαιρετικός γιατρός — ευγενικός, προσιτός, πολύ επεξηγηματικός και πάνω απ’ όλα εξαιρετικός άνθρωπος. Με έκανε να νιώσω άνετα και μου εξήγησε τα πάντα με απλό τρόπο. Τον συστήνω ανεπιφύλακτα.
Katerina Kateri profile picture
Katerina Kateri
11:30 16 Feb 26
Από την πρώτη επίσκεψη, μας ενέπνευσε εμπιστοσύνη με τον τρόπο που μιλούσε, εξηγούσε αλλά και άκουγε. Με ανθρώπινη προσέγγιση και πραγματικό ενδιαφέρον για τον ασθενή.
Είναι Άνθρωπος με πραγματικό πάθος για αυτό που κάνει και αυτό φαίνεται σε κάθε του κίνηση. Σε ένα ιδιαίτερα απαιτητικό χειρουργείο Καθ’ όλη τη διάρκεια – πριν, κατά τη νοσηλεία και μετά το χειρουργείο – ήταν παρών, ήρεμος, ξεκάθαρος και ουσιαστικός.
Τον ευχαριστούμε ειλικρινά για την άψογη αντιμετώπιση και την ασφάλεια που μας έκανε να νιώσουμε.
penny dernikou profile picture
penny dernikou
12:05 15 Feb 26
Ένα μεγάλο ευχαριστώ στον γιατρό μου για το χειρουργείο ολικής θυρεοειδεκτομής.
Όλα πήγαν πολύ καλά και πραγματικά δεν ένιωσα καθόλου πόνο. Τώρα βρίσκομαι στη δεύτερη εβδομάδα ανάρρωσης και όλα εξελίσσονται ομαλά, κάτι που με κάνει να νιώθω τεράστια ανακούφιση και ευγνωμοσύνη.
Τον γνώρισα μετά από σύσταση της ενδοκρινολόγου μου και από την πρώτη στιγμή με έκανε να νιώσω ασφάλεια. Ήταν δίπλα μου σε κάθε βήμα, προσεκτικός σε όλες τις εξετάσεις (χάρη στις οποίες βρέθηκε και ένα αδένωμα) και πάντα πρόθυμος να απαντήσει σε κάθε απορία μου.
Πάνω απ’ όλα όμως, εκτός από εξαιρετικός γιατρός, είναι και ένας υπέροχος άνθρωπος. Ήταν δίπλα μου πριν και μετά το χειρουργείο, άκουγε με υπομονή τους φόβους μου και με στήριξε πραγματικά.
Τέτοιους γιατρούς τους εκτιμάς διπλά και σαν επιστήμονες αλλά και πάνω απ όλα σαν ανθρώπους.
Eleni Skevaki profile picture
Eleni Skevaki
09:03 11 Feb 26
Ο κ. Αποστόλου είναι ένας εξαιρετικός άνθρωπος και επιστήμονας. Είχα παραγαγγλίωμα στον δεξιό καρωτιδικό διχασμό και η διάγνωση με είχε πανικοβάλει, καθώς πρόκειται για κάτι σπάνιο και δεν ήξερα σε ποια ειδικότητα να απευθυνθώ. Μίλησα με διάφορους γιατρούς, οι οποίοι με τρόμαξαν περισσότερο και δεν μου ενέπνευσαν εμπιστοσύνη, μέχρι τη στιγμή που συνάντησα τον κ. Αποστόλου. Από την πρώτη κιόλας επίσκεψη, μου εξήγησε με σαφήνεια, ηρεμία αλλά και επιστημονική ακρίβεια την κατάστασή μου και ενήργησε πολύ γρήγορα για να με απαλλάξει από αυτό.

Είναι ένας πολύ γλυκός και προσιτός άνθρωπος, χωρίς χρηματοκεντρική προσέγγιση, που δεν δημιουργεί απόσταση από τον ασθενή. Κατά τη διάρκεια της παραμονής μου στο νοσοκομείο, εισέπραξα τον σεβασμό και τη συμπάθεια που του δείχνουν νοσηλευτές και συνάδελφοί του, κάτι που με έκανε να νιώσω ακόμη μεγαλύτερη ασφάλεια. Για άλλη μία φορά, σας ευχαριστώ!
Colors and Sounds of Life profile picture
Colors and Sounds of Life
10:57 04 Feb 26
Ότι και να γράψω καλό για τον λαμπρο αυτό επιστήμονα θα ειναι λίγο,στην προσπάθεια μου να βρω καλό χειρουργό για την περιπέτεια υγείας που μου προέκυψε βρέθηκα πάρα πολύ τυχερός να τον γνωρίσω με μια λέξη ΕΞΑΙΡΕΤΙΚΟΣ σαν γιατρός αλλά και υπέροχος ως ανθρωπος που ξέρει να κάνει τον ασθενή να αισθάνεται αισιόδοξα και ότι σίγουρα έχει πέσει σε καλά χέρια.Μπορω να πω ότι σπάνια βρίσκει κανείς τον τέλειο συνδυασμό αριστου γιατρού και ανθρώπου τιμά τον όρκο του Ιπποκράτη και για μένα αξιολογείτε σαν ένα κοσμημα για τον ευαίσθητο και υπεύθυνο χώρο της ιατρικής. ΝΙΚΟΣ από ΒΟΛΟ
Ληδα Σκλαβουνου profile picture
Ληδα Σκλαβουνου
15:58 30 Jan 26
Θα μιλήσω για τον Γιατρό Κωνσταντινο Αποστόλου εκ μέρους της μητέρας μου την οποία και εγχειρησε τον Δεκέμβριο κάνοντας ολικη θυρεοειδεκτομη, πέρα απο οτι ολα πηγαν εξαιρετικά στην εγχείρηση αλλά και στη μετέπειτα πορεία προς την ανάρρωση ,θα ήθελα να σταθώ στην προσωπικότητα αυτού του Ανθρώπου είναι τόσα πολλά που ένιωσα γι αυτόν τον Ανθρωπο ,ευγνωμοσύνη, σεβασμό, θαυμασμό, χαρά που τον γνώρισα και που βοήθησε την μητέρα μου να αντιμετωπίσει μια ξαφνική κατάσταση που δεν μπορούσε να διαχειριστεί και κατ επέκταση ούτε και εμείς, εν μια νυκτί έπρεπε να την στηρίξουμε να πάρει μια σοβαρή απόφαση για την υγεία της,σκεπτόμενη και την οικογένειά μας και τον εαυτό της .Ο Γιατρός Αποστόλου Κωνσταντίνος ήταν το Α και το Ω σε όλα στηριξε τόσο πολύ τη μητέρα μου, τον εμπιστευτηκαμε ,εκανε τα πιο δύσκολα να φαίνονται εύκολα, με την επιστημονική του γνώση, την εξειδίκευση του ,την εμπειρία του ,την ομάδα του που αποτελείται απο εξαιρετικούς επιστήμονες, ολα πήγαν καλά πολυ καλα ,.Θα τελειώσω λέγοντας πως είναι ο Γιατρός που δε σταματά την επαφή με τον ασθενή μετα το χειρουργείο, σε καθε ανησυχία, σε καθε φόβο, σε κάθε ερώτηση, σε οτιδήποτε προκύπτει θα απαντήσει σε καθε τηλέφωνο, και θα βοηθήσει με την γνώση του ,θα δώσει θάρρος με την αισιοδοξία που τον διακρίνει, θα σε κανει να χαμογελάς γιατί είναι Αυτός ο Γιατρός Άνθρωπος.....Σε ευχαριστούμε Γιατρέ μου που ήσουν και είσαι δίπλα μας .
Ang D profile picture
Ang D
19:32 28 Jan 26
Ο κύριος Αποστόλου Κωνσταντίνος είναι ένας εξαιρετικός επιστήμονας και άνθρωπος! Με σαφήνεια και με κατανοητό τρόπο μου εξήγησε τι ακριβώς συμβαίνει και τον τρόπο με τον οποίο μπορεί να αντιμετωπιστεί! Έκανα χειρουργική αφαίρεση ενδομητριωσικων εστιών κοιλιακού τοιχώματος και από την πρώτη στιγμή ένιωσα εμπιστοσύνη στα χέρια του! Η επικοινωνία μας ήταν συχνή για ότι προέκυπτε τόσο πριν την επέμβαση όσο και μετά από αυτήν! Τον συστήνω ανεπιφύλακτα! Είναι ο καλύτερος γιατρός που θα μπορούσατε να επιλέξετε! Σας ευχαριστώ γιατρέ για όλα!
Σμαρω Σμαρω profile picture
Σμαρω Σμαρω
10:41 06 Jan 26
Ευχαριστώ θερμά τον κ. Αποστόλου. Είναι εξαιρετικός επισυημονας.
Σε μια πολύ δύσκολη στιγμή με ενημέρωσε με καθυσυχασε όλα πήγαν εξαιρετικά κσι μετα υην εγχείρηση είμαι πολυ καλά και γιόρτασα με την οικογένεια μου τα Χριστούγεννα.
Τον ευχαριστώ! Να είναι πάντα καλά!
Σβορώνου Σμαραγδα.
Ioannis Kontos profile picture
Ioannis Kontos
12:41 05 Jan 26
Ο δρ. Κωνσταντίνος Απόστολου είναι άψογος επαγγελματίας και εξαιρετικός άνθρωπος. Από την πρώτη κιόλας επίσκεψη αφιέρωσε πολύ χρόνο στο γραφείο για να αναλύσει διεξοδικά τις εξετάσεις που του πήγα, να μου εξηγήσει με απλό και κατανοητό τρόπο τι ακριβώς συμβαίνει και πώς θα αντιμετωπιστεί. Η επικοινωνία μας ήταν συνεχής μέχρι το χειρουργείο αλλά και μετά από αυτό για καθοδήγηση και επίλυση κάθε απορίας. Ένιωσα ασφάλεια και εμπιστοσύνη σε κάθε στάδιο. Έκανε πραγματικά επαγγελματική δουλειά, χωρίς χρηματοκεντρική νοοτροπία, και ήταν πάντα ευγενικός και πολύ εξυπηρετικός. Τον συνιστώ ανεπιφύλακτα.
Alma 53 profile picture
Alma 53
20:45 30 Dec 25
Εξαιρετικός χειρουργός και πάνω απ’ όλα υπέροχος άνθρωπος. Από την πρώτη στιγμή με έκανε να νιώσω άνετα και ασφαλής, εξηγώντας τα πάντα με ηρεμία και σαφήνεια. Εξαιρετικός επαγγελματίας, με γνώση, εμπειρία και πραγματικό ενδιαφέρον για τον ασθενή. Η επέμβαση πήγε άψογα και η μετεγχειρητική παρακολούθηση ήταν τουλάχιστον υποδειγματική. Τον συστήνω ανεπιφύλακτα. Σας ευχαριστώ απο καρδιάς Γιατρέ
Vasiliki Samara profile picture
Vasiliki Samara
08:29 11 Dec 25
Ολική θυροειδεκτομη και καθαρισμός λεμφαδένων και όλα πήγαν άψογα.Ο κύριος Αποστολου μου εξήγησε από την αρχή αναλυτικά τι χρειαζεται να κάνουμε και με καθυσηχασε απαντώντας σε όλες μου τις απορίες. Δίπλα μου συνέχεια και ως ιατρός και ως άνθρωπος. Ευχαριστώ πολύ για όλα γιατρέ!!
martha demesticha profile picture
martha demesticha
08:27 02 Dec 25
Από την πρώτη κιόλας επικοινωνία μαζί του θα καταλάβεις ότι βρήκες τον κατάλληλο γιατρό.
Το χαμόγελο του, η θετική του ενέργεια και η αισιοδοξία του δεν αφήνουν περιθώρια να πάει τίποτα λάθος.
Ο κύριος Αποστόλου πάντα διαθέσιμος να απαντήσει και να σου λύσει όλες τις απορίες χωρίς να δυσανασχετήσει ούτε λεπτό.
Υποβλήθηκα σε ολική θυρεοειδεκτομή με απόλυτη επιτυχία και τον ευχαριστώ πολύ για όλα!!
Υ.Γ μην ψάχνετε μόνο για ένα καλό γιατρό αναζητήστε τον άνθρωπο που θα μιλήσει στη ψυχή σας!!!
ΠΑΝΑΓΙΩΤΗΣ ΚΟΥΦΑΚΗΣ profile picture
ΠΑΝΑΓΙΩΤΗΣ ΚΟΥΦΑΚΗΣ
09:01 21 Nov 25
Τι να πω για τον γιατρό τα ξέρουν όλοι. Αριστος επιστήμονας και Ανθρωπός με Αλφα κεφαλαίο. Εκανα ολική θυρεοειδεκτομή . Από την πρώτη επίσκεψη στο ιατρείο του ένιωσα ότι συνάντησα ένα καλό φίλο, ήταν επεξηγηματικότατος, καθυσηχαστικός και μου ενέπνευσε εμπιστοσύνη από την πρώτη στιγμή. Η εγχείρηση παρότι δύσκολη πήγε άριστα και η αναρρωση ήταν ταχεία. Ο γιατρός σε όλη αυτή την διάρκεια ήταν δίπλα μου όταν τον χρειαζόμουν. Εάν πρόκειται να κάνεται επέμβαση επιλέξτε τον με κλειστά μάτια. Τον ευχαρισώ μέσα από την καρδία μου.
18
Ο χειρουργός και η ομάδα που τον πλαισιώνει πραγματοποιούν όλες τις επεμβάσεις της Χειρουργικής Ενδοκρινών Αδένων (Θυρεοειδούς, Παραθυρεοειδών και Επινεφριδίων), όπως και το σύνολο των χειρουργικών επεμβάσεων της Γενικής Χειρουργικής και της Χειρουργικής Ογκολογίας.
Απόλυτο στόχο μας αποτελεί η προσφορά άριστων ιατρικών υπηρεσιών και η εφαρμογή όλων των νεότερων επιστημονικών εξελίξεων στους ασθενείς μας, σύμφωνα πάντα με τα διεθνή πρότυπα Αριστείας.
Η φιλοσοφία μας συνοψίζεται στην εξής φράση: «Πάντα δίπλα στους ασθενείς, για το όφελος των ασθενών και μόνο».
Αφαίρεση Όζου Θυρεοειδούς με ΛέιζερΑφαίρεση Όζου Θυρεοειδούς με Λέιζερ14 Οκτωβρίου, 2025
Πως να Mειώσω το Ασβέστιο;23 Νοεμβρίου, 2025Πως να Mειώσω το Ασβέστιο;

Related Posts

Χειρουργικά Περιστατικά
9 Ιουνίου, 2025

Ευμέγεθες Λίπωμα στο Θώρακα

Read More
Χειρουργικά Περιστατικά
5 Μαρτίου, 2026

Όγκος Καρωτιδικού Σωματίου

Read More

Κωνσταντίνος Αποστόλου

Γενικός Χειρουργός - Εξειδικευμένος Χειρουργός Ενδοκρινών Αδένων Μετεκπαιδευθείς Πανεπιστημίου Harvard, USA

Ο Κωνσταντίνος Αποστόλου είναι Γενικός Χειρουργός και Εξειδικευμένος Χειρουργός Θυρεοειδούς και Παραθυρεοειδών Αδένων, έχοντας λάβει Επίσημη Εξειδίκευση στη Χειρουργική των Ενδοκρινών Αδένων και την Χειρουργική Ογκολογία, ενώ έχει μετεκπαιδευθεί και στο Πανεπιστήμιο του Harvard.

Η μεγάλη εμπειρία και η εξειδίκευση του ιατρού εγγυώνται την προσφορά ιατρικών υπηρεσιών υψηλής ποιότητας, καθώς και προηγμένων θεραπειών στις παθήσεις τόσο των ενδοκρινών αδένων όσο και της γενικής και ογκολογικής χειρουργικής.

Διατηρώντας ως απόλυτο γνώμονα τον άνθρωπο, η «ασθενοκεντρική» ιατρική αποτελεί την καρδιά της παρεχόμενης φροντίδας από τον ιατρό, αντανακλώντας τη φιλοσοφία του περί ιατρικής.

Κατηγορίες
  • Γενική Χειρουργική 41
  • Παθήσεις Επινεφριδίων 4
  • Παθήσεις Θυρεοειδούς 74
  • Παθήσεις Παραθυρεοειδών 12
  • Συνέδρια – Διαλέξεις – Παρουσιάσεις 13
  • Χειρουργικά Περιστατικά 26
Logo_black

Εξειδικευμένος Χειρουργός Θυρεοειδούς, Παραθυρεοειδών και Ενδοκρινών Αδένων

Γενικός Χειρουργός

Μεταπτυχιακό Δίπλωμα Ειδίκευσης στην «Ελάχιστα Επεμβατική Χειρουργική, Ρομποτική Χειρουργική και Τηλεχειρουργική»

Διδάκτωρ Ιατρικής Σχολής Πανεπιστημίου Αθηνών

Μετεκπαιδευθείς Πανεπιστημίου Harvard

Εξειδικεύσεις

Αδένωμα Παραθυρεοειδούς

Βρογχοκήλη

Θυρεοειδεκτομή

Καρκίνος Θυρεοειδούς

Καρκίνος Θυρεοειδούς στα Παιδιά

Λεμφαδενικός Καθαρισμός Τραχήλου

Νόσος Graves

Όζοι Θυρεοειδούς

Παραθυρεοειδεκτομή

Χειρουργός Θυρεοειδούς

Χειρουργός Παραθυρεοειδών

Ωράριο

Δευτέρα: 10:00 – 22:00

Τρίτη: 10:00 – 22:00

Τετάρτη: 10:00 – 22:00

Πέμπτη: 10:00 – 22:00

Παρασκευή: 10:00 – 22:00

Σάββατο: 10:00 – 19:00

Κυριακή: Κλειστά

Στοιχεία Επικοινωνίας

Ιατρείο A': Βασ. Σοφίας 124Β, Αμπελόκηποι Τ.Κ. 115 26

Ιατρείο Β': Άρεως 41, Παλαιό Φάληρο Τ.Κ. 175 62

Καλέστε μας
6940167070

Καλέστε μας
2107709910

Στείλτε μήνυμα
info@drapostolou.gr

Copyright © 2023 drapostolou.gr All Rights Reserved. | Designed by SEO MARKETER
#medify_button_69bbbb31259a0 { color: rgba(255,255,255,1); }#medify_button_69bbbb31259a0:hover { color: rgba(255,255,255,1); }#medify_button_69bbbb31259a0 { border-color: rgba(255,158,33,1); background-color: rgba(255,158,33,1); }#medify_button_69bbbb31259a0:hover { border-color: rgba(46,166,247,1); background-color: rgba(46,166,247,1); }#medify_button_69bbbb31259a0 { border-radius: 0px; }