Ενότητες
ToggleΤι είναι ο καρκίνος επινεφριδίου;
Ο καρκίνος του επινεφριδίου ή καρκίνος επινεφριδίων συνιστά μία σπάνια αλλά εξαιρετικά επικίνδυνη νόσο. Η συχνότητα εμφάνισής του ανέρχεται σε μόλις 2.5 περιπτώσεις ανά εκατομμύριο πληθυσμού. Εξαιτίας της εντόπισής του στο εξωτερικό μέρος των επινεφριδίων, ο καρκίνος του επινεφριδίου ονομάζεται και φλοιοεπινεφριδιακός καρκίνος.
Τα επινεφρίδια είναι δύο αδένες που εντοπίζονται πάνω από τον κάθε νεφρό και παράγουν ορμόνες ζωτικής σημασίας. Μερικές από τις ορμόνες που παράγονται στα επινεφρίδια είναι:
- Κορτιζόλη
- Αλδοστερόνη
- Επινεφρίνη
- Ανδρογόνα
Ορμονικές διαταραχές και καρκίνος επινεφριδίων
Η πλειοψηφία των επινεφριδικών καρκινωμάτων εμφανίζει ορμονική λειτουργικότητα, εκδηλώνεται δηλαδή με υπερέκκριση επινεφριδικών ορμονών. Η συχνότερα υπερεκκρινόμενη ορμόνη (30% των λειτουργικών καρκινωμάτων) από τον καρκίνο επινεφριδίου είναι η κορτιζόλη, προκαλώντας, συνεπώς, την εμφάνιση του συνδρόμου Cushing.
Επιπρόσθετα, η κορτιζόλη ακολουθούμενη από άλλες επινεφριδικές ορμόνες προκαλούν αρρενοποίηση (22%), θηλεοποίηση (10%) και υπεραλδοστερονισμό (2.5%), ενώ στο 35% των περιπτώσεων παρατηρείται ταυτόχρονη έκκριση δύο ή και περισσοτέρων επινεφριδικών ορμονών.
Πώς εκδηλώνεται η νόσος;
Ο καρκίνος επινεφριδίου μπορεί να εκδηλωθεί κλινικά με τους ακόλουθους τρόπους:
- Μη λειτουργικό επινεφριδικό καρκίνωμα (30% των περιπτώσεων): προκαλεί την εμφάνιση μη ειδικών συμπτωμάτων, όπως αίσθημα κόπωσης, ανεξήγητη απώλεια βάρους ή πυρετό αγνώστου αιτιολογίας
- Λειτουργικό επινεφριδικό καρκίνωμα (60% των περιπτώσεων): προκαλεί την υπερέκκριση ορμονών
- Επινεφριδικό τυχαίωμα (10% των περιπτώσεων): αποτελεί τυχαίο εύρημα κατά τη διενέργεια απεικονιστικών εξετάσεων για άλλους λόγους.
Ποια συμπτώματα μπορεί να εμφανίσει ένας ασθενής με καρκίνο επινεφριδίου;
Τα συμπτώματα που μπορεί να εμφανίσει ένας ασθενής που έχει διαγνωστεί με καρκίνο επινεφριδίων εξαρτώνται από το ποια ορμόνη υπερεκκρίνεται. Πιο συγκεκριμένα, η έντονη παραγωγή ανδρογόνων ή οιστρογόνων από τον καρκίνο επινεφριδίου στα παιδιά μπορεί να εμφανισθεί ως:
- Υπερβολική τριχοφυΐα
- Μεγάλοι σε μέγεθος μαστοί (αγόρια)
- Πρώιμη εφηβεία
Αντίθετα, στους ενήλικες ασθενείς με καρκίνο επινεφριδίου, συχνότερη είναι η υπερέκκριση κορτιζόνης και αλδοστερόνης, οι οποίες μπορούν να προκαλέσουν:
- Αρτηριακή υπέρταση
- Αύξηση βάρους
- Σακχαρώδη διαβήτη
- Σύνδρομο Cushing
- Κατάθλιψη
- Συχνοουρία
- Ευαισθησία στο δέρμα
Διαγνωστική προσέγγιση
Δεδομένων των μη ειδικών συμπτωμάτων και σημείων εκδήλωσης της νόσου, η διερεύνηση κάθε ασθενούς που εμφανίζει συμπτώματα και σημεία που υποδεικνύουν την πιθανότητα καρκίνου επινεφριδίου οφείλει να ξεκινά με τη λήψη λεπτομερούς ιατρικού ιστορικού και ενδελεχούς κλινικής εξέτασης.
Η εμφάνιση συγκεκριμένων κλινικών σημείων θα πρέπει να εγείρει την υποψία του επινεφριδικού καρκινώματος, όπως σημεία αρρενοποίησης στις γυναίκες (ξαφνική εμφάνιση έντονης τριχοφυΐας) ή σημείων θηλεοποίησης στους άνδρες (γυναικομαστία).
Υψηλή κλινική υποψία θα πρέπει επίσης να υπάρχει για επινεφριδικά μορφώματα διαμέτρου μεγαλύτερης των 6 εκατοστών, καθώς ο κίνδυνος υπόκρυψης κακοήθειας αυξάνεται δυσανάλογα για μορφώματα μεγέθους μεγαλύτερου των 6 εκατοστών.
Ποιες απεικονιστικές εξετάσεις βοηθούν στη διάγνωση της νόσου;
Την κλινική υποψία του επινεφριδικού καρκινώματος ακολουθεί η διενέργεια απεικονιστικών εξετάσεων, κυριότερα αξονικής και μαγνητικής τομογραφίας. Η εμφάνιση συγκεκριμένων απεικονιστικών χαρακτηριστικών, όπως για παράδειγμα αποτιτανώσεων, ετερογένειας, νεκρωτικών εστιών εντός του μορφώματος ή συνοδού λεμφαδενοπάθειας, ενισχύει περαιτέρω την πιθανότητα κακοήθους φύσεως του μορφώματος.

Αξονική τομογραφία γυναίκας ασθενούς μας με ευμεγέθη καρκίνο του αριστερού επινεφριδίου, ο οποίος έρχεται σε επαφή με τον σπλήνα, τα αγγεία του αριστερού νεφρού και το πάγκρεας.
Ωστόσο, η οριστική διάγνωση της κακοήθους μορφολογίας του επινεφριδικού μορφώματος τίθεται με την μετεγχειρητική ιστολογική εξέταση του αφαιρεθέντος επινεφριδίου, όταν πληρούνται συγκεκριμένα κριτήρια κακοήθειας (κριτήρια Weiss).
Σύμφωνα με τα αναθεωρημένα κριτήρια Weiss για τον καρκίνο επινεφριδίων, κάθε βλάβη του επινεφριδίου χαρακτηρίζεται ως καρκίνος επινεφριδίου όταν το άθροισμα της βαθμονόμησης των ακόλουθων παραμέτρων είναι ίσο ή μεγαλύτερο του 3. Οι παράμετροι, λοιπόν, που αξιολογούν τα αναθεωρημένα κριτήρια Weiss είναι:
- > 5 μιτώσεις / 50 οπτικά πεδία (απουσία = 0, παρουσία = 2)
- Κύτταρα με άφθονο ηωσινόφιλο κυτταρόπλασμα, τα οποία αποτελούν τουλάχιστον το 25% του συνόλου των κυττάρων της επινεφριδικής αλλοίωσης (απουσία = 0, παρουσία = 2)
- Ανώμαλες μιτώσεις (απουσία = 0, παρουσία = 1)
- Νέκρωση εντός του όγκου (απουσία = 0, παρουσία = 1)
- Διήθηση της κάψας του επινεφριδίου (απουσία = 0, παρουσία = 1)
Ένα άθροισμα που είναι ίσο ή μεγαλύτερο του 3 προβλέπει με υψηλότατη ακρίβεια την κακοήθη φύση της βλάβης και ως εκ τούτου θέτει τη διάγνωση του καρκίνου επινεφριδίου.
Καρκίνος επινεφριδίων: Ποια είναι τα στάδια της νόσου;
Η σταδιοποίηση για τον καρκίνο των επινεφριδίων θα καθορίσει και τα αντίστοιχα στάδια της νόσου.
Για την σταδιοποίηση της νόσου χρησιμοποιούνται απεικονιστικές εξετάσεις, στις οποίες περιλαμβάνονται:
- αξονική τομογραφία εγκεφάλου, θώρακος, άνω και κάτω κοιλίας
- μαγνητική τομογραφία άνω και κάτω κοιλίας
- σπινθηρογράφημα οστών (επί ισχυρής υποψίας παρουσίας μεταστάσεων στα οστά)
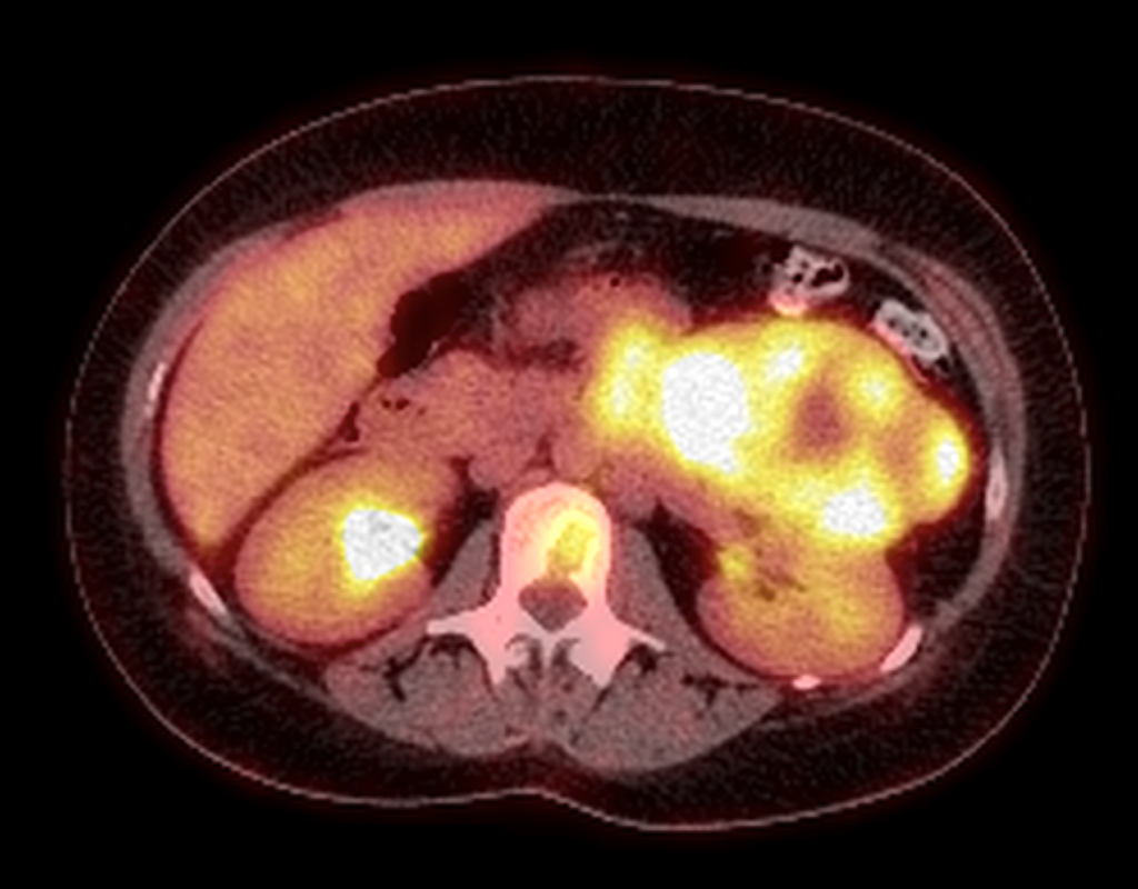
- τομογραφία εκπομπής ποζιτρονίων (PET Scan), για την επιβεβαίωση ή τον αποκλεισμό της παρουσίας απομακρυσμένων μεταστάσεων σε άλλα όργανα.

PET Scan (PET/CT) σε ασθενή μας με καρκίνο του αριστερού επινεφριδίου, το οποίο επιβεβαιώνει την έντονη καθήλωση του ραδιοφαρμάκου στην ανατομική περιοχή του αριστερού επινεφριδίου.
Το ακριβές, ωστόσο, στάδιο της νόσου, που δεν είναι άλλο από το κλινικό στάδιο, προκύπτει ύστερα από την χειρουργική θεραπεία της, αξιολογώντας τις ακόλουθες 3 παραμέτρους:
- τοπική επέκταση της νόσου (παράμετρος Τ)
- επέκταση ή μη της νόσου στους λεμφαδένες (παράμετρος Ν)
- παρουσία ή απουσία απομακρυσμένων μεταστάσεων.
Καρκίνος επινεφριδίων: Ποια είναι η θεραπεία;
Δεδομένων των ενδεικτικών αλλά όχι αποδεικτικών προεγχειρητικών ενδείξεων κακοήθειας ενός επινεφριδικού μορφώματος, η ορθή θεραπευτική προσέγγιση ενός επινεφριδικού μορφώματος που εμφανίζει ισχυρά σημεία ενδεικτικά κακοήθειας συνίσταται σε χειρουργική εξαίρεση του πάσχοντος επινεφριδίου.
Η χειρουργική επέμβαση θα πρέπει να πραγματοποιείται με τη διενέργεια ανοικτής, και όχι λαπαροσκοπικής επινεφριδεκτομής, με σύγχρονο λεμφαδενικό καθαρισμό και πιθανή συνεξαίρεση γειτονικών οργάνων επί ανεύρεσης σημείων διήθησής τους από τη νόσο. Η προσέγγιση αυτή προσφέρει πολλαπλά πλεονεκτήματα όσον αφορά στον πλήρη τοπικό και περιοχικό έλεγχο της νόσου, ενώ ταυτόχρονα ελαχιστοποιείται ο κίνδυνος διασποράς της νόσου, συγκριτικά με τη λαπαροσκοπική προσέγγιση.
Στο σημείο αυτό αξίζει να σημειώσουμε πως τα νεότερα επιστημονικά δεδομένα υποστηρίζουν τη χειρουργική αφαίρεση του πάσχοντος επινεφριδίου με σύγχρονο λεμφαδενικό καθαρισμό και πιθανή συνεξαίρεση γειτονικών οργάνων προσφέρει πλεονέκτημα επιβίωσης ακόμη και στους ασθενείς με καρκίνο επινεφριδίου που έχουν ήδη μεταστάσεις κατά τη διάγνωση της νόσου, υπογραμμίζοντας τον σημαντικό ρόλο της ογκομειωτικής χειρουργικής στην αντιμετώπιση του καρκίνου των επινεφριδίων.
Μετεγχειρητικά, οι ασθενείς με καρκίνο του επινεφριδίου ενδέχεται να χρειαστούν συμπληρωματική λήψη χημειοθεραπείας (μιτοτάνη), στοχεύοντας στη μείωση του κινδύνου υποτροπής της νόσου, ενώ τα τελευταία χρόνια η ανοσοθεραπεία έρχεται να προστεθεί στη θεραπευτική φαρέτρα έναντι της νόσου.
Καρκίνος επινεφριδίων και προσδόκιμο ζωής
Η πρόγνωση και το προσδόκιμο ζωής των ασθενών που πάσχουν από καρκίνο επινεφριδίων και έχουν υποβληθεί σε θεραπεία για τη νόσο τους εξαρτάται από πολλαπλούς παράγοντες, αλλά κατά κύριο λόγο από το στάδιο της νόσου κάθε ασθενούς.
Οι ασθενείς που εμφανίζουν νόσο εντοπισμένη μόνο στο επινεφρίδιο εμφανίζουν 5-ετη επιβίωση της τάξεως του 73%.
Οι ασθενείς στους οποίους ο καρκίνος επινεφριδίου έχει επεκταθεί σε γειτονικά όργανα και ανατομικές δομές, χωρίς ωστόσο να υπάρχουν απομακρυσμένες μεταστάσεις, εμφανίζουν ένα 5-ετές προσδόκιμο ζωής της τάξεως του 53%.
Οι ασθενείς που πάσχουν από καρκίνο των επινεφριδίων με μεταστάσεις σε απομακρυσμένα όργανα παρουσιάζουν δυσμενέστερο προσδόκιμο, σε σύγκριση με τα πρωιμότερα στάδια της νόσου, με το 38% των ασθενών να επιβιώνουν στα 5 έτη από τη θεραπεία της νόσου.
Ο Χειρουργός Ενδοκρινών Αδένων Δρ. Κωνσταντίνος Αποστόλου διαθέτει εξαιρετική εμπειρία στην αντιμετώπιση του καρκίνου του επινεφριδίου. Ο Δρ. Αποστόλου βρίσκεται στη διάθεσή σας για να σας παράσχει εξατομικευμένη διάγνωση και θεραπεία. Επικοινωνήστε με τον ιατρό και κλείστε το ραντεβού σας.
Τι είναι ο καρκίνος επινεφριδίων;
Ο καρκίνος του επινεφριδίου συνιστά μία σπάνια αλλά εξαιρετικά επικίνδυνη νόσο που αφορά στην ανάπτυξη καρκίνου στο εξωτερικό μέρος των επινεφριδίων, και για τον λόγο αυτό ονομάζεται και φλοιοεπινεφριδιακός καρκίνος.
Επηρεάζει ο καρκίνος επινεφριδίου τις ορμόνες;
Η πλειοψηφία των επινεφριδικών καρκινωμάτων εμφανίζει ορμονική λειτουργικότητα, εκδηλώνεται δηλαδή με υπερέκκριση επινεφριδικών ορμονών. Η συχνότερα υπερεκκρινόμενη ορμόνη (30% των λειτουργικών καρκινωμάτων) είναι η κορτιζόλη, προκαλώντας, συνεπώς, την εμφάνιση του συνδρόμου Cushing.
Επιπρόσθετα, η κορτιζόλη ακολουθούμενη από άλλες επινεφριδικές ορμόνες προκαλούν αρρενοποίηση (22%), θηλεοποίηση (10%) και υπεραλδοστερονισμό (2.5%), ενώ στο 35% των περιπτώσεων παρατηρείται ταυτόχρονη έκκριση δύο ή και περισσοτέρων επινεφριδικών ορμονών.
Ποια συμπτώματα προκαλεί ο καρκίνος επινεφριδίων;
Τα συμπτώματα που μπορεί να εμφανίσει ένας ασθενής που έχει διαγνωστεί με καρκίνο επινεφριδίου εξαρτώνται από το ποια ορμόνη υπερεκκρίνεται. Πιο συγκεκριμένα, η έντονη παραγωγή ανδρογόνων ή οιστρογόνων στα παιδιά μπορεί να εμφανισθεί ως:
- Υπερβολική τριχοφυΐα
- Μεγάλοι σε μέγεθος μαστοί (αγόρια)
- Πρώιμη εφηβεία
Αντίθετα, στους ενήλικες είναι συχνότερη η υπερέκκριση κορτιζόνης και αλδοστερόνης όπου μπορεί να προκαλέσουν:
- Υπέρταση
- Αύξηση βάρους
- Σακχαρώδη διαβήτη
- Κατάθλιψη
- Συχνοουρία
- Ευαισθησία στο δέρμα
Πως τίθεται η διάγνωση;
Δεδομένων των μη ειδικών συμπτωμάτων και σημείων εκδήλωσης της νόσου, η διερεύνηση κάθε ασθενούς που εμφανίζει συμπτώματα και σημεία που υποδεικνύουν την πιθανότητα καρκίνου επινεφριδίου οφείλει να ξεκινά με τη λήψη λεπτομερούς ιατρικού ιστορικού και ενδελεχούς κλινικής εξέτασης.
Η εμφάνιση συγκεκριμένων κλινικών σημείων θα πρέπει να εγείρει την υποψία του επινεφριδικού καρκινώματος, όπως σημεία αρρενοποίησης στις γυναίκες (ξαφνική εμφάνιση έντονης τριχοφυΐας) ή σημείων θηλεοποίησης στους άνδρες (γυναικομαστία).
Υψηλή κλινική υποψία θα πρέπει επίσης να υπάρχει για επινεφριδικά μορφώματα διαμέτρου μεγαλύτερης των 6 εκατοστών, καθώς ο κίνδυνος υπόκρυψης κακοήθειας αυξάνεται δυσανάλογα για μορφώματα μεγέθους μεγαλύτερου των 6 εκατοστών.
Ποια είναι η θεραπεία για τον καρκίνο επινεφριδίου;
Δεδομένων των ενδεικτικών αλλά όχι αποδεικτικών προεγχειρητικών ενδείξεων κακοήθειας ενός επινεφριδικού μορφώματος, η ορθή θεραπευτική προσέγγιση ενός επινεφριδικού μορφώματος που εμφανίζει ισχυρά σημεία ενδεικτικά κακοήθειας συνίσταται σε χειρουργική εξαίρεση του πάσχοντος επινεφριδίου.
Η χειρουργική επέμβαση θα πρέπει να πραγματοποιείται με τη διενέργεια ανοικτής, και όχι λαπαροσκοπικής επινεφριδεκτομής, με σύγχρονο λεμφαδενικό καθαρισμό και πιθανή συνεξαίρεση γειτονικών οργάνων επί ανεύρεσης σημείων διήθησής τους από τη νόσο. Η προσέγγιση αυτή προσφέρει πολλαπλά πλεονεκτήματα όσον αφορά στον πλήρη τοπικό και περιοχικό έλεγχο της νόσου, ενώ ταυτόχρονα ελαχιστοποιείται ο κίνδυνος διασποράς της νόσου, συγκριτικά με τη λαπαροσκοπική προσέγγιση.
Μετεγχειρητικά, οι ασθενείς με καρκίνο του επινεφριδίου ενδέχεται να χρειαστούν συμπληρωματική λήψη χημειοθεραπείας (μιτοτάνη), στοχεύοντας στη μείωση του κινδύνου υποτροπής της νόσου.
Καρκίνος επινεφριδίου: Ποιο είναι το προσδόκιμο ζωής;
Το προσδόκιμο ζωής των ασθενών που πάσχουν από καρκίνο επινεφριδίων εξαρτάται από πολλαπλούς παράγοντες, αλλά κατά κύριο λόγο από το στάδιο της νόσου κάθε ασθενούς.
Οι ασθενείς που εμφανίζουν νόσο εντοπισμένη μόνο στο επινεφρίδιο εμφανίζουν 5-ετη επιβίωση της τάξεως του 73%.
Οι ασθενείς στους οποίους ο καρκίνος επινεφριδίου έχει επεκταθεί σε γειτονικά όργανα και ανατομικές δομές, χωρίς ωστόσο να υπάρχουν απομακρυσμένες μεταστάσεις, εμφανίζουν ένα 5-ετές προσδόκιμο ζωής της τάξεως του 53%.
Οι ασθενείς που πάσχουν από καρκίνο των επινεφριδίων με μεταστάσεις σε απομακρυσμένα όργανα παρουσιάζουν δυσμενέστερο προσδόκιμο, σε σύγκριση με τα πρωιμότερα στάδια της νόσου, με το 38% των ασθενών να επιβιώνουν στα 5 έτη από τη θεραπεία της νόσου.



Είναι Άνθρωπος με πραγματικό πάθος για αυτό που κάνει και αυτό φαίνεται σε κάθε του κίνηση. Σε ένα ιδιαίτερα απαιτητικό χειρουργείο Καθ’ όλη τη διάρκεια – πριν, κατά τη νοσηλεία και μετά το χειρουργείο – ήταν παρών, ήρεμος, ξεκάθαρος και ουσιαστικός.
Τον ευχαριστούμε ειλικρινά για την άψογη αντιμετώπιση και την ασφάλεια που μας έκανε να νιώσουμε.

Όλα πήγαν πολύ καλά και πραγματικά δεν ένιωσα καθόλου πόνο. Τώρα βρίσκομαι στη δεύτερη εβδομάδα ανάρρωσης και όλα εξελίσσονται ομαλά, κάτι που με κάνει να νιώθω τεράστια ανακούφιση και ευγνωμοσύνη.
Τον γνώρισα μετά από σύσταση της ενδοκρινολόγου μου και από την πρώτη στιγμή με έκανε να νιώσω ασφάλεια. Ήταν δίπλα μου σε κάθε βήμα, προσεκτικός σε όλες τις εξετάσεις (χάρη στις οποίες βρέθηκε και ένα αδένωμα) και πάντα πρόθυμος να απαντήσει σε κάθε απορία μου.
Πάνω απ’ όλα όμως, εκτός από εξαιρετικός γιατρός, είναι και ένας υπέροχος άνθρωπος. Ήταν δίπλα μου πριν και μετά το χειρουργείο, άκουγε με υπομονή τους φόβους μου και με στήριξε πραγματικά.
Τέτοιους γιατρούς τους εκτιμάς διπλά και σαν επιστήμονες αλλά και πάνω απ όλα σαν ανθρώπους.

Είναι ένας πολύ γλυκός και προσιτός άνθρωπος, χωρίς χρηματοκεντρική προσέγγιση, που δεν δημιουργεί απόσταση από τον ασθενή. Κατά τη διάρκεια της παραμονής μου στο νοσοκομείο, εισέπραξα τον σεβασμό και τη συμπάθεια που του δείχνουν νοσηλευτές και συνάδελφοί του, κάτι που με έκανε να νιώσω ακόμη μεγαλύτερη ασφάλεια. Για άλλη μία φορά, σας ευχαριστώ!




Σε μια πολύ δύσκολη στιγμή με ενημέρωσε με καθυσυχασε όλα πήγαν εξαιρετικά κσι μετα υην εγχείρηση είμαι πολυ καλά και γιόρτασα με την οικογένεια μου τα Χριστούγεννα.
Τον ευχαριστώ! Να είναι πάντα καλά!
Σβορώνου Σμαραγδα.




Το χαμόγελο του, η θετική του ενέργεια και η αισιοδοξία του δεν αφήνουν περιθώρια να πάει τίποτα λάθος.
Ο κύριος Αποστόλου πάντα διαθέσιμος να απαντήσει και να σου λύσει όλες τις απορίες χωρίς να δυσανασχετήσει ούτε λεπτό.
Υποβλήθηκα σε ολική θυρεοειδεκτομή με απόλυτη επιτυχία και τον ευχαριστώ πολύ για όλα!!
Υ.Γ μην ψάχνετε μόνο για ένα καλό γιατρό αναζητήστε τον άνθρωπο που θα μιλήσει στη ψυχή σας!!!






