Κήλη μετά από Καισαρική
Ενότητες
ToggleΗ κήλη μετά από καισαρική τομή ενδέχεται να εμφανισθεί εντός των πρώτων μηνών έως και αρκετά έτη μετά τον τοκετό.
Η γέννηση ενός παιδιού αποτελεί ένα εκ των πολυτιμότερων αγαθών στη ζωή, με τη συναρπαστική αυτή στιγμή να παραμένει βαθιά χαραγμένη στη μνήμη των γονιών και των οικείων προσώπων.
Η καισαρική τομή κρίνεται ορισμένες φορές απαραίτητη έναντι του φυσιολογικού τοκετού, με στόχο την απόλυτα ασφαλή γέννηση του παιδιού και ταυτόχρονα την διασφάλιση της υγείας και της μητέρας.
Εύλογα, όπως σε κάθε χειρουργική τομή, έτσι και στην καισαρική ενδέχεται να παρατηρηθεί ο σχηματισμός μίας κήλης μετά την παρέλευση άλλοτε άλλου χρονικού διαστήματος από τον τοκετό.
Τι είναι η κήλη μετά από καισαρική τομή;
Η κήλη μετά από καισαρική τομή αποτελεί την κατάσταση εκείνη στην οποία σχηματίζεται μία κήλη στο σημείο της προηγηθείσας τομής της καισαρικής, η οποία ονομάζεται τομή Pfannenstiel.
Ουσιαστικά, η κήλη μετά από την καισαρική τομή δεν προκύπτει από την διατομή του δέρματος αλλά από την διατομή των υποκείμενων του δέρματος μυών του πρόσθιου κοιλιακού τοιχώματος. Η επούλωση των μυών και των απονευρώσεων δεν είναι πάντοτε η ιδανική, με αποτέλεσμα την αποδυνάμωση του πρόσθιου κοιλιακού τοιχώματος, η οποία σε συνδυασμό με την χρόνια αύξηση της ενδοκοιλιακής πίεσης προδιαθέτουν στον σχηματισμό της κήλης μετά από καισαρική.
Ποιοι είναι τα αίτια;
Διάφορες επιστημονικές μελέτες έχουν διερευνήσει όλους τους ενδεχόμενους προδιαθεσικούς παράγοντες για το σχηματισμό μίας κήλης μετά από καισαρική τομή.
Ως μία γνήσια μετεγχειρητική κήλη, η κήλη μετά από καισαρική τομή οφείλεται στους παράγοντες που προδιαθέτουν στο σχηματισμό μίας μετεγχειρητικής κήλης και στους οποίους ανήκουν:
- Το κάπνισμα της μητέρας
- Η παχυσαρκία
- Η προηγηθείσα δεύτερη ή πολλαπλή καισαρική τομή
- Οι προηγηθείσες επεμβάσεις στην κοιλιακή χώρα
- Η διαπύηση του χειρουργικού τραύματος
- Η ανεπαρκής σύγκλειση ή η χαλάρωση των ραμμάτων
- Η έντονη σωματική δραστηριότητα ή η άρση βάρους σε σύντομο χρονικό διάστημα μετά την καισαρική
- Ο έντονος βήχας ή η επίμονη δυσκοιλιότητα μετά την καισαρική τομή
- Ο σακχαρώδης διαβήτης
- Η λήψη φαρμακευτικών σκευασμάτων που καθυστερούν ή επηρεάζουν αρνητική την επουλωτική ικανότητα του οργανισμού (κορτιζόνη).
Κοινό παρονομαστή όλων των προαναφερθέντων παραγόντων αποτελούν η ανεπαρκής επούλωση του χειρουργικού τραύματος, η οποία συνδυαστικά με τη χρόνια αύξηση της ενδοκοιλιακής πίεσης προδιαθέτουν στο σχηματισμό κήλης μετά από καισαρική τομή.
Οι δύο πλέον πρόσφατες και πλέον έγκριτες επιστημονικές μελέτες επί του θέματος δημοσιεύθηκαν το 2020 και το 2021.
Η 1η μελέτη προέρχεται από τη Δανία και αποτελεί μία συστηματική ανασκόπηση της διεθνούς βιβλιογραφίας, ενώ δημοσιεύθηκε το 2020 στο έγκριτο επιστημονικό περιοδικό “European Journal of Obstetrics andGynecology and Reproductive Biology”.
Η έρευνα ανέλυσε τα δεδομένα 275.878 γυναικών που είχαν υποβληθεί σε καισαρική τομή και αποκάλυψε πως η κήλη μετά από καισαρική τομή εμφανίζεται σε ένα ποσοστό ≤ 5.6% των γυναικών σε ένα χρονικό διάστημα 6 μηνών έως και 10 ετών από την καισαρική τομή.
Η 2η μελέτη προέρχεται από τη Σουηδία και δημοσιεύθηκε το 2021 στο έγκριτο επιστημονικό περιοδικό “PLosOne”.
Η έρευνα συνέκρινε τα δεδομένα 79.052 γυναικών που είχαν υποβληθεί σε καισαρική τομή με εκείνα αντίστοιχου αριθμού γυναικών με φυσιολογικό τοκετό.
Τα ευρήματα της μελέτης αποκάλυψαν πως ο σχηματισμός κοιλιοκήλης μετά από καισαρική τομή (κήλη μετά από καισαρική) είναι 2.71 φορές (271%) πιθανότερος σε σύγκριση με τον φυσιολογικό τοκετό, όπως επίσης αυξημένη κατά 3.35 φορές (335%) είναι η πιθανότητα η κήλη μετά από καισαρική τομή να χρειασθεί χειρουργική επιδιόρθωση.
Επιπρόσθετα, τα ευρήματα της μελέτης υπογράμμισαν πως οι κυρίαρχοι παράγοντες που προδιαθέτουν στο σχηματισμό κήλης μετά από καισαρική είναι:
- Το κάπνισμα
- Η παχυσαρκία
- Η προηγηθείσα καισαρική τομή.
Κήλη μετά από καισαρική τομή
Η κήλη μετά από καισαρική αφορά συνήθως στο σχηματισμό μίας μετεγχειρητικής κήλης στο σημείο της προηγηθείσας καισαρικής τομής, δίχως αυτό ωστόσο να αποκλείει το ενδεχόμενο ανάπτυξης μίας κήλης σε άλλο σημείο του κοιλιακού τοιχώματος.
Παρουσιάζουμε την περίπτωση μίας γυναίκας ασθενούς μας ηλικίας 31 ετών, η οποία είχε υποβληθεί σε καισαρική τομή προ 14 μηνών για τη γέννηση του πρώτου της παιδιού.
Η ασθενής παρατηρούσε την σταδιακή εμφάνιση μίας διόγκωσης του κοιλιακού τοιχώματος στο σημείο της προηγηθείσας καισαρικής τομής και πέριξ αυτής, με τη διόγκωση να επιδεινώνεται με τη συσσώρευση σωματικής κόπωσης, ενώ χαρακτηριστικά βελτιωνόταν ύστερα από την κατάκλιση.
Πέραν, ωστόσο, της εν λόγω διόγκωσης, τα συμπτώματα που προκαλούσε η κήλη μετά από καισαρική τομή στην ασθενή περιλάμβαναν, επίσης:
- Το αίσθημα βάρους στο πάσχον σημείο
- Την εμφάνιση άλγους και δυσφορίας στο πάσχον σημείο, το οποίο επιδεινωνόταν κατά την έμμηνο ρύση
- Τις εντερικές ενοχλήσεις, εξαιτίας της παγίδευσης εντός της κήλης ελίκων του λεπτού εντέρου.
Η κλινική εξέταση της ασθενούς πραγματοποιήθηκε με την ασθενή τόσο σε ύπτια θέση όσο και σε όρθια στάση του σώματος, αποκαλύπτοντας:
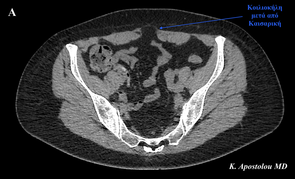
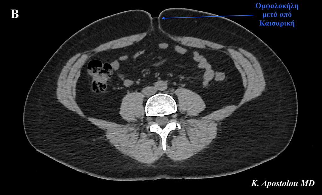
- Κήλη μετά από καισαρική τομή, με σύγχρονη
- Ομφαλοκήλη μετά από καισαρική.
Η κλινική διάγνωση επιβεβαιώθηκε με την πραγματοποίηση αξονικής τομογραφίας άνω και κάτω κοιλίας, η οποία ανέδειξε την παρουσία μίας κήλης στην καισαρική τομή διαστάσεων 6.5 x 2.5 cm καθώς και μίας σύγχρονης ομφαλοκήλης διαστάσεων 1.9 x 1.4 cm.
Κήλη μετά από καισαρική τομή: Ποια είναι η οριστική θεραπεία;
Όπως κάθε είδος κήλης, έτσι και η κήλη μετά από μία καισαρική τομή αποτελεί μία παθολογική κατάσταση που προκύπτει από κάποιο ανατομικό έλλειμμα του κοιλιακού τοιχώματος, διαμέσου του οποίου ένα ή περισσότερα ενδοκοιλιακά όργανα προβάλλουν προς τα έξω.
Εύλογα, συνεπώς, το ανατομικό αυτό έλλειμμα δεν δύναται να αποκατασταθεί με συντηρητική φαρμακευτικά μέσα, με αποτέλεσμα η μοναδική θεραπεία για κάθε κήλη στο κοιλιακό τοίχωμα να είναι η χειρουργική αποκατάστασή της με την τοποθέτηση πλέγματος.
Η ασθενής ενημερώθηκε ενδελεχώς για την δυνατότητα σύγχρονης χειρουργικής αποκατάστασης τόσο της κήλης μετά από καισαρική όσο και της ομφαλοκήλης με την εφαρμογή ελάχιστα επεμβατικών χειρουργικών τεχνικών (λαπαροσκοπική μέθοδος) και μερικές ημέρες αργότερα οδηγήθηκε στο χειρουργείο.
Η επέμβαση ολοκληρώθηκε λαπαροσκοπικά, κατά την οποία ύστερα από την είσοδο στην περιτοναϊκή κοιλότητα διαπιστώθηκαν πολυάριθμες συμφύσεις του επιπλόου με το πρόσθιο κοιλιακό τοίχωμα, οι οποίες λύθηκαν.
Η λύση των συμφύσεων αποκάλυψε και το πλήρες μέγεθος του κηλικού χάσματος του πρόσθιου κοιλιακού τοιχώματος στο ύψος της προηγηθείσας καισαρικής τομής.
Εν συνεχεία τοποθετήθηκε πλέγμα διπλής όψεως, το οποίο καθηλώθηκε στο πρόσθιο κοιλιακό τοίχωμα με απορροφήσιμο υλικό, υπερκαλύπτοντας τόσο το κηλικό χάσμα της κήλης στην καισαρική τομή όσο και το χάσμα της ομφαλοκήλης.
Η μετεγχειρητική πορεία και ανάρρωση της ασθενούς υπήρξε άριστη, με την ασθενή να κινητοποιείται και να σιτίζεται κανονικά μόλις 2 ώρες ύστερα από την χειρουργική επέμβαση, ενώ έλαβε εξιτήριο και επέστρεψε πλήρως λειτουργική στην οικία και την όμορφη οικογένειά της την επόμενη κιόλας ημέρα.
Κήλη μετά από καισαρική τομή – Συμπεράσματα
Η καισαρική τομή αποτελεί μία εξαιρετικά δημοφιλή μέθοδο τοκετού στις ημέρες μας, που θα πρέπει, ωστόσο, να πραγματοποιείται υπό συγκεκριμένες ενδείξεις.
Όπως κάθε μορφή κοιλιακής τομής, έτσι και η καισαρική τομή ενδέχεται να επιπλακεί από την εμφάνιση μίας κήλης, με τη συχνότητά της να αφορά σε ≤ 5.6% των γυναικών που υποβάλλονται σε καισαρική τομή.
Αναμφίβολα, η μοναδική και οριστική μορφή θεραπείας για κάθε κήλη μετά από καισαρική τομή είναι η χειρουργική αποκατάστασή της με την σύγχρονη τοποθέτηση πλέγματος, η οποία στη σύγχρονη εποχή πραγματοποιείται με την εφαρμογή ελάχιστα επεμβατικών μεθόδων.
Τα πλεονεκτήματα των ελάχιστα επεμβατικών τεχνικών είναι πολυάριθμα, σε σύγκριση με την παραδοσιακή ανοικτή αποκατάσταση, και στα οποία περιλαμβάνονται:
- Ο ελάχιστος μετεγχειρητικός πόνος
- Η άμεση κινητοποίηση και σίτιση των ασθενών
- Η ταχύτατη επιστροφή των ασθενών στην οικία τους και τις καθημερινές δραστηριότητές τους
- Τα ισοδύναμα θεραπευτικά αποτελέσματα σε σύγκριση με την παραδοσιακή ανοικτή αποκατάσταση.
Ο χειρουργός και η ομάδα που τον πλαισιώνει πραγματοποιούν όλες τις επεμβάσεις της Χειρουργικής Ενδοκρινών Αδένων (Θυρεοειδούς, Παραθυρεοειδών και Επινεφριδίων), όπως και το σύνολο των χειρουργικών επεμβάσεων της Γενικής Χειρουργικής και της Χειρουργικής Ογκολογίας.




Είναι Άνθρωπος με πραγματικό πάθος για αυτό που κάνει και αυτό φαίνεται σε κάθε του κίνηση. Σε ένα ιδιαίτερα απαιτητικό χειρουργείο Καθ’ όλη τη διάρκεια – πριν, κατά τη νοσηλεία και μετά το χειρουργείο – ήταν παρών, ήρεμος, ξεκάθαρος και ουσιαστικός.
Τον ευχαριστούμε ειλικρινά για την άψογη αντιμετώπιση και την ασφάλεια που μας έκανε να νιώσουμε.

Όλα πήγαν πολύ καλά και πραγματικά δεν ένιωσα καθόλου πόνο. Τώρα βρίσκομαι στη δεύτερη εβδομάδα ανάρρωσης και όλα εξελίσσονται ομαλά, κάτι που με κάνει να νιώθω τεράστια ανακούφιση και ευγνωμοσύνη.
Τον γνώρισα μετά από σύσταση της ενδοκρινολόγου μου και από την πρώτη στιγμή με έκανε να νιώσω ασφάλεια. Ήταν δίπλα μου σε κάθε βήμα, προσεκτικός σε όλες τις εξετάσεις (χάρη στις οποίες βρέθηκε και ένα αδένωμα) και πάντα πρόθυμος να απαντήσει σε κάθε απορία μου.
Πάνω απ’ όλα όμως, εκτός από εξαιρετικός γιατρός, είναι και ένας υπέροχος άνθρωπος. Ήταν δίπλα μου πριν και μετά το χειρουργείο, άκουγε με υπομονή τους φόβους μου και με στήριξε πραγματικά.
Τέτοιους γιατρούς τους εκτιμάς διπλά και σαν επιστήμονες αλλά και πάνω απ όλα σαν ανθρώπους.

Είναι ένας πολύ γλυκός και προσιτός άνθρωπος, χωρίς χρηματοκεντρική προσέγγιση, που δεν δημιουργεί απόσταση από τον ασθενή. Κατά τη διάρκεια της παραμονής μου στο νοσοκομείο, εισέπραξα τον σεβασμό και τη συμπάθεια που του δείχνουν νοσηλευτές και συνάδελφοί του, κάτι που με έκανε να νιώσω ακόμη μεγαλύτερη ασφάλεια. Για άλλη μία φορά, σας ευχαριστώ!




Σε μια πολύ δύσκολη στιγμή με ενημέρωσε με καθυσυχασε όλα πήγαν εξαιρετικά κσι μετα υην εγχείρηση είμαι πολυ καλά και γιόρτασα με την οικογένεια μου τα Χριστούγεννα.
Τον ευχαριστώ! Να είναι πάντα καλά!
Σβορώνου Σμαραγδα.




Το χαμόγελο του, η θετική του ενέργεια και η αισιοδοξία του δεν αφήνουν περιθώρια να πάει τίποτα λάθος.
Ο κύριος Αποστόλου πάντα διαθέσιμος να απαντήσει και να σου λύσει όλες τις απορίες χωρίς να δυσανασχετήσει ούτε λεπτό.
Υποβλήθηκα σε ολική θυρεοειδεκτομή με απόλυτη επιτυχία και τον ευχαριστώ πολύ για όλα!!
Υ.Γ μην ψάχνετε μόνο για ένα καλό γιατρό αναζητήστε τον άνθρωπο που θα μιλήσει στη ψυχή σας!!!













